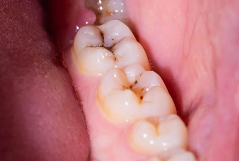
Επιστήμονες στο Πανεπιστήμιο του Nottingham ανέπτυξαν ένα νέο τζελ με βάση την πρωτεΐνη που μπορεί να αποκαταστήσει το σμάλτο των δοντιών μιμούμενο τις φυσικές διαδικασίες ανάπτυξης του σώματος. Ένα νέο υλικό που αναπτύχθηκε έχει χρησιμοποιηθεί για τη δημιουργία ενός τζελ ικανού να επιδιορθώνει και να αναδομεί το σμάλτο των δοντιών, προσφέροντας μια πιθανή ανακάλυψη τόσο στην προληπτική όσο και στην επανορθωτική οδοντιατρική φροντίδα. Επιστήμονες από […]
Διαβάστε ολόκληρο το άρθρο εδω: scitechdaily.com
Subscribe to Updates
Get the latest creative news from FooBar about art, design and business.
Marizas Dimitris
Ο Δημήτρης είναι παθιασμένος με την τεχνολογία και τις καινοτομίες της Samsung. Αγαπά να εξερευνά νέες ιδέες, να λύνει προβλήματα και να μοιράζεται τρόπους που κάνουν την τεχνολογία πιο ανθρώπινη και απολαυστική.
Related Posts
Add A Comment







