Subscribe to Updates
Get the latest creative news from FooBar about art, design and business.
Browsing: Technology
Η Huawei έχει προγραμματίσει μια ειδική εκδήλωση κυκλοφορίας για το λειτουργικό της σύστημα HarmonyOS 6.0 στις 22 Οκτωβρίου. Η εταιρεία…
Ή κυκλοφορία του πρώτου ηλεκτρικού αυτοκινήτου Xiaomi SU7, αρχικά προκάλεσε πανικό που θύμιζε περισσότερο το λανσάρισμα μιας νέας τεχνολογικής συσκευής…
Η πρώτη εταιρεία στην Ευρώπη που λαμβάνει πιστοποίηση υψηλού επιπέδου ασφάλειας για μια έξυπνη κάρτα σχεδιασμένη να αντέχει στις απειλές…
Η Honor επιστρέφει με φόρα, παρουσιάζοντας στην Κίνα τη νέα σειρά Magic8, δύο smartphones που φιλοδοξούν όχι απλώς να ξεχωρίσουν…
Η Apple ανακοίνωσε πριν λίγο το νέο iPad Pro με M5 SoC, το οποίο αναμένεται να κυκλοφορήσει και στη χώρα…
Το OpenAI διέκοψε τη δυνατότητα των χρηστών του μοντέλου τεχνητής νοημοσύνης του, Sora, να δημιουργούν βίντεο που μοιάζουν με τον…
Τα τελευταία χρόνια, το Προσκήνιο έχει καταφέρει να ξεχωρίσει στον τομέα των έξυπνων οικιακών συσκευών προσφέροντας ηλεκτρικές σκούπες χειρός που…
Η Apple αποκάλυψε επίσημα το νέο iPad Pro με κορυφαίες αναβαθμίσεις στο hardware και τις επιδόσεις, όπως ο επεξεργαστής M5,…
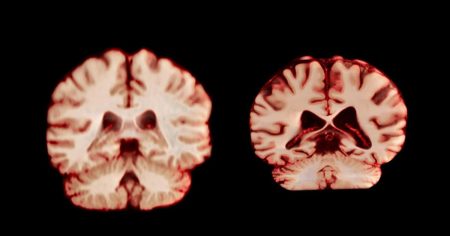
Είναι ένα από τα πιο αινιγματικά και σκληρά παράδοξα της σύγχρονης νευρολογίας. Οι γυναίκες διαγιγνώσκονται με Alzheimer σχεδόν δύο φορές…
Εκτός του iPad Pro, το νέο M5 SoC της Apple κάνει την εμφάνισή του και στο MacBook Pro 14 ιντσών,…
















